La radiocirugía estereotáctica o SRS, abreviada en inglés (Streotactic Radiosurgery), es una técnica de tratamiento que ayuda a enfocar la dosis alta de radiación a un área pequeña y precisa del cerebro. respetando una proporción muy alta de órganos vecinos.
Este proceso se lleva a cabo en varias sesiones y es un tratamiento, no una intervención quirúrgica. Es por esto que el paciente no es sometido a cirugía y no requiere anestesia general, ya que es completamente móvil y el paciente puede retomar su trabajo diario casi de inmediato.
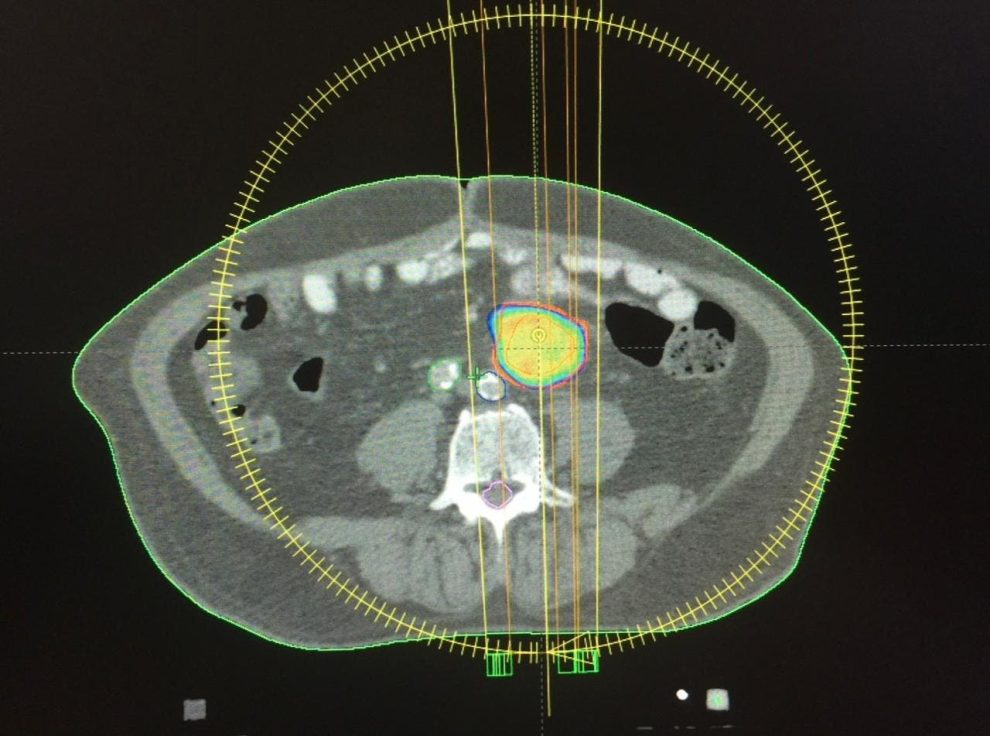
” Debo señalar que este mismo tipo de tratamiento cuando se realiza fuera del cerebro se llama radioterapia corporal estereotáxica, comúnmente conocida como radiocirugía extracraneal, y se aplican los mismos conceptos excepto que los ajustes de posicionamiento no se utilizan fuera del cerebro”, explica el Dr. Luis Moreno Sánchez, jefe del oncólogo radioterapeuta y médico del HOMS. nuclear.
Según el Dr. Moreno Sánchez, la radiocirugía tiene indicaciones precisas y está indicada para pacientes que cumplen con los criterios necesarios, de ahí la importancia de la evaluación y el abordaje médico multidisciplinario, para lograr la remisión de las lesiones tumorales, locales. control o irradiación del lecho quirúrgico donde está presente el tumor o lesión.
En 2015, los expertos de SHOFM practicaron con éxito la primera técnica de radiocirugía extracraneal, utilizando tecnología de corte avanzada en el Centro Oncológico. La práctica se realizó en un paciente con metástasis primaria en ganglios linfáticos, mediante PET-CT y tomografía computarizada de doble contraste de abdomen y pelvis, fusionando las dos imágenes y posterior verificación antes del tratamiento, utilizando imágenes de tomografía computarizada del objetivo a tratar. .








